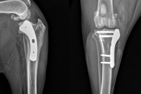
A ortopedia é uma especialidade médica que trata das doenças e lesões do sistema locomotor, como ossos, músculos, tendões e articulações.
Na RedeVet 24 horas realizamos atendimentos ortopédicos com uma equipe extremamente qualificada para o diagnóstico e tratamento das afecções ortopédicas. Além de tratamentos específicos em relação a fraturas e luxações, aqui você também encontra tratamentos mais específicos como: osteotomia de nivelamento do platô tibial (TPLO), transposição da tuberosidade tibial (TTT), diagnóstico e tratamento da displasia do quadril, diagnóstico e tratamento da displasia do cotovelo, etc.

